Introduction: Histiocytic necrotizing lymphadenitis (HNL) is a benign, self-limiting disease that presents with few nonspecific symptoms such as fever and swollen lymph nodes in the neck. Histiocytic necrotizing lymphadenitis with hemophagocytic lymphohistiocytosis (HNL-HLH) is rare and case series have been reported in children. HNL-HLH in adults has not been systematically analyzed.
Methods: We aimed at exploring the clinical, laboratory, and radiological features and outcomes of adult patients with HNL-HLH. We collected the clinical data of patients with HNL-HLH admitted to the First Affiliated Hospital of Nanjing Medical University from October 2010 to June 2015. All the patients underwent lymph node biopsy and have a pathological diagnosis of HNL. The age, gender, clinical presentation, lymph node signs, laboratory findings and imaging data, and pathological findings of the patients were collected.
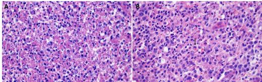
Results: In this study, we reported five adult patients with HNL-HLH, including 3 females and 2 males. The median age was 37 years (range: 20-57). All five patients showed enlarged lymph nodes and prolonged fever. Laboratory findings were consistent with the diagnosis of HLH. All five patients had hyperferritinemia and the levels of ferritin were all higher than 1000 ug/L. Serum lactate dehydrogenase (LDH) and aminotransferase were significantly elevated in all five patients. 18F-FDG PET/CT showed enlarged lymph nodes with increased FDG uptake and splenic hypermetabolism could be present. Pathological findings were consistent with HNL (Fig A) and hemophagocytosis in the lymph node was present in two cases (Fig B). All the patients responded well to corticosteroids and had a good prognosis. Two of the five patients were diagnosed with systemic lupus erythematosus (SLE) during the follow-up.
Conclusion: Our study demonstrated that adult patients with HNL-HLH showed distinct clinical, laboratory, and radiological features. And the prognosis is good and patients could be managed with steroids and supportive care.
Disclosures
No relevant conflicts of interest to declare.
